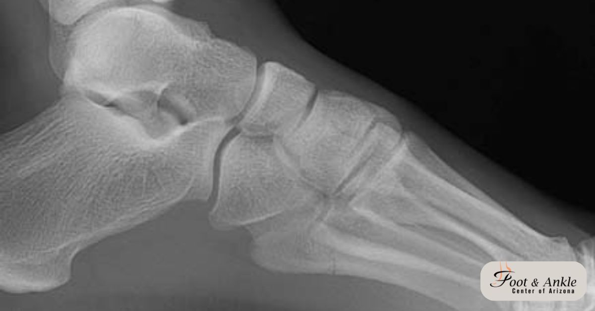
What is a 5th metatarsal fracture?
The foot is an intricate structure subjected to quite a degree of stress through our day-to-day undertakings. One such common injury that this structure can suffer from is a long fracture in one of the five metatarsals that contribute to connecting your toes to your midfoot. A 5th metatarsal fracture is one of the most common fractures in the foot.
Foot and Ankle Center of Arizona would love to help you wrap your brain around this injury. In this blog, we will talk about causes, symptoms, diagnostic evidence, and treatment treatment. We will also briefly mention a 2nd metatarsal fracture for comparison.
Get to Know the Metatarsals
Your foot has five metatarsals, numbered 1-5 from medial to lateral (or big toe to little toe). The 5th metatarsal is the bone on the lateral side of your foot that connects to your little toe.
There are two basic ways a 5th metatarsal fracture can happen:
Sudden Impact: A sudden break in the bone may be received from a forceful landing from a jump or fall, or a direct blow to the top of the foot. This occurs more in athletes or those involved in high-impact activities.
Stress Fracture: Repetitive stress in the long term can lead to the development of tiny cracks in the bone. Eventually, these cracks can turn into complete fractures. As commonly seen in runners, dancers, or people whose job makes them constantly stand on their feet.
2nd Metatarsal Fracture vs 5th Metatarsal Fracture
While 5th metatarsal fractures are more common, other metatarsals can also get fractures. The causes and symptoms are somewhat the same, but the location of the break may have an impact on the treatment options. Just as the example has it, the 2nd metatarsal is the one that plays the most important role in spreading the weight throughout the forefoot, so this kind of location in the case of a fracture might need more specialized care.
Symptoms of a 5th Met Tarsal Fracture
The common symptoms that present with a 5th metatarsal fracture are:
- An outside part of the foot pain, especially at the base of the little toe
- Swelling and bruising in the surrounding area
- Inability to walk or bear weight on the foot
- Point tenderness along the region
- Instability or foot “giving way”
Diagnosis of a 5th Metatarsal Fracture
If you suspect that you have a fractured 5th metatarsal, you should see a podiatrist (foot and ankle specialist) at the Foot and Ankle Center of Arizona. Our doctor will examine your foot for pain, swelling, and tenderness. Imaging studies may be needed to confirm the fracture and the location and extent.
What Are My Treatment Options for A 5th Metatarsal Fracture?
The treatment for 5th metatarsal fracture will depend on how bad the break is and where the fracture is. For the fourth or fifth metatarsal fracture that is nondisplaced and nonregulated, the following are the initial treatment approaches:
Nonsurgical: Closed Treatment This is the most common line of treatment for stable fractures. In this case, one needs to immobilize the foot with the use of a cast, walking boot. Or splint, namely the metatarsal splint, depending on the nature of the breakage, for a number of weeks until the bone heals. Minimalistic physical therapy can be included to regain strength and flexibility in the foot.
Metatarsal Fracture Surgery: Some individuals may need open reduction internal fixation, also known as ORIF. This is the most common, and it typically utilizes displaced fractures or unstable fracture types that include the Jones fracture. In the metatarsal ORIF, a podiatric surgeon realigns the fragments and holds them in position with either screws, pins, or plates.
Recovery from a 5th Metatarsal Fracture
Recovery time from a 5th metatarsal fracture depends upon the severity of the break and the form of treatment selected. Typically non-surgical treatment will take 6-8 weeks to be totally recovered. If surgery is necessary, recovery time may extend to as long as 12 weeks after surgery. Therapy is a significant part of the recovery process to regain the strength and function of your foot.
Treatment Options Continued: Understanding Medical Codes
In the section above, we discussed the two most common attempts to fix 5th metatarsal fractures: closed treatment (non-surgical) and surgery (ORIF). This section explores these procedures a bit more and wraps up with some associated medical codes.
Closed Treatment (Non-surgical)
As described above: the non-operative method is what’s utilized in stable fractures. Most commonly, in closed management, the patient is immobilized with the use of a cast or walking boot secondarily to splinting. Here are the specifics:
Cast: A cast is a rigid encasement made up of plaster or synthetic material to immobilize the foot and ankle. The cast is bulky and uncomfortable and does not have ventilation capacity at all, especially in hot weather. In a cast, maximum stability is provided. Walking Boot: A new alternative for a cast, a walking boot offers support and immobility in varieties, being able to allow specific movement in the ankle joint. They vary in design according to the needs of a patient.
Splint (Metatarsal Splint): A splint is a less rigid alternative compared to a cast. It is used in the short term and in specific conditions/circumstances when the patient needs to have some motion during the immobilization period. A special metatarsal splint can be utilized to concentrate on immobilization just for the fractured metatarsal.
Closed Treatment and Medical Coding (CPT Codes)
Practices of the US health system are provided with specific CPT codes that explain the actions or services that were done in a medical practice. For a closed treatment with a 5th metatarsal fracture, the type of immobilization applied modulates the CPT code to be used:
CPT code for a short leg cast: The specific code would depend on whether it was a synthetic or plaster cast and also whether it is a window or standard cast.
CPT code for walking boot: Just like the above cast, the specific CPT code for a walking boot would depend on whether it was a synthetic or plaster boot and whether that particular boot was a windowing or Unwindowing design.
CPT code for a splint (metatarsal splint): There are many different CPT codes for splints, so take note that there is just one—29520, which is the code for “Application of a short leg splint.”
Description of Surgical Intervention (ORIF)
ORIF surgery (metatarsal ORIF) is indicated for displaced fractures, unstable fractures, or specific fracture types, such as a Jones fracture. During the surgery, the podiatrist will incise, realign the bone fragments and fix them with means of fixation like pins, screws, or plates. It’s also metatarsal surgery with pins.
ORIF Surgery and Medical Factors
Physical Therapy: Whether surgery is selected or non-operative treatment is selected, physical therapy is needed to restore strength, mobility, and function to the foot. These charges will not be included as part of the surgery.
X-rays: X-rays are used both in diagnosis and for monitoring your healing. These will also be billed at a separate CPT code.
If you do have a 5th metatarsal fracture, or if you have any other condition that affects your foot and ankle. Our podiatrists at the Foot and Ankle Center of Arizona will be able to provide a comprehensive evaluation. After your evaluation, our podiatrists will discuss the treatment that is most appropriate for you for the best outcome. And coordinate with your insurance regarding coverage, as well as what your costs and billing will be.
Please keep in mind, that this blog posting is informative and does not substitute seeking professional podiatric care; please contact us for further evaluation with any foot or ankle injury.
